我们在您的浏览器上使用 cookie 来定制内容以供您查看和分析。如果您点击“接受”或继续浏览我们的网站,我们假设您已经同意我们使用 cookie。有关详细信息,请参阅我们的 Cookie 政策。
第27届南方心血管病学术会议期间,肺动脉去神经术(PADN)专题会于3月21日圆满落幕。本次会议汇聚国内心肺血管介入领域顶尖专家,围绕PADN技术创新与临床应用展开深入探讨。通过真实世界数据挖掘、临床中心经验分享及手术直播演示,多维度呈现了该项技术的操作规范与临床价值,为推动肺高压介入治疗迈向精准化、规范化、创新化发展注入了新动力。

肺动脉去神经术(PADN)专题会于广州圆满落幕
本次会议,特邀广东省人民医院荆志成教授、香港亚洲心脏病医院林逸贤教授、四川省人民医院程标教授担任大会主席。武汉大学中南医院张刚成教授、中南大学湘雅二医院李江教授、同济大学附属同济医院陈发东教授担任大会主持,中山大学附属第一医院龙明教授、中山大学附属第八医院魏文斌教授,南方医科大学附属南方医院林立龙教授担任讨论嘉宾。




主席致辞:多维视角,共绘蓝图
林逸贤教授在致辞中提到,PADN作为全球首创技术,在多类型肺高压患者中显现应用价值。PADN凭借明确的治疗效果、相对简便的操作优势,已从中国逐步推广至香港、欧洲、南美、东南亚及中东等地区,成为中国心血管原创技术走向世界的典范,且被写入2022年欧洲肺高压诊疗指南,获得国际广泛认可,成为中国原创技术走向世界的典范。PADN技术操作难度适中,但高质量临床数据的积累与研究是其持续发展的核心。本次专场交流对推动技术规范化、完善循证证据体系意义重大,愿与各位专家携手,助力PADN在肺高压诊疗领域的进一步发展。
程标教授在致辞中提到,肺动脉高压传统药物治疗面临疗效差异大、依从性差、经济负担重等多重挑战,PADN作为中国原创创新技术,通过介入手段抑制过度激活的肺动脉交感神经,降低肺动脉压力、改善右心功能,开辟了全新的治疗路径。临床试验与真实世界研究证实,PADN具有良好的安全性与有效性,实现“一次治疗、长期获益”。四川省人民医院作为PADN-HF-PH研究重要中心之一,收治多例左心衰合并肺高压患者,术后随访效果良好,该研究已进入收尾阶段,预计今年年底发布数据,将进一步拓展PADN适应症,为更多肺高压患者带来希望
主题报告:数据为证,疗效为先
广东省人民医院张曹进教授作了题为《技术革新驱动临床变革:PADN治疗肺动脉高压的真实世界实践与疗效评估》的专题报告。张教授结合本中心临床应用经验与PADN领域的热点话题,整合多家中心真实世界数据,进行了系统深入的分享。

广东省人民医院张曹进教授主题报告
张教授指出,PADN在真实临床应用中展现出良好疗效,6个月随访结果显示患者血流动力学指标与运动耐量持续改善。随访结果显示,PADN术后6个月,患者运动耐量明显提升,此外,右心导管随访数据显示,患者平均肺动脉压(mPAP)与肺血管阻力(PVR)均显著下降,与PADN抑制肺血管交感神经激活、改善血管重构的作用机制高度一致。
不同病因患者疗效相近,CHD-PAH患者NT-proBNP降幅更显著:在IPAH、CHD-PAH、CTD-PAH三类最常见病因亚组中,PADN术后6MWD、mPAP、PVR均呈现一致改善趋势。其中,CHD-PAH患者NT-proBNP降幅更为显著,提示右心负荷减轻更为明显,可能与先心病患者肺血管重构特点及血流动力学基础有关。
病程与联合用药影响疗效,早期干预获益更大:真实世界数据发现,对比靶向药物无效的患者,更早期使用PADN可带来更佳的疗效。
围绕PADN领域的若干热点问题,张教授进一步展开探讨:在先天性心脏病相关肺动脉高压(CHD-PAH)患者中,PADN可进一步改善患者的血流动力学指标,为其提供新的治疗策略;关于PADN是否可作为肺动脉高压(PAH)更早期治疗选择,现有临床实践显示,PAH患者在靶向药物治疗早期接受PADN获益更大;而在长期获益方面,PADN通过抑制肺动脉交感神经活性,可实现一次手术、长期获益的效果;此外,张教授还分享了PADN患者选择策略及未来适应症拓展的可能方向。
厦门大学附属心血管病医院陈翔教授作《PADN在瓣膜病相关肺高压治疗中的临床探索与实践启示》主题报告。他结合所在中心参与PADN-HF-PH临床研究的经验,分享了PADN在左心疾病相关肺高压(LHD-PH)中的应用价值,并依托本中心临床数据与典型病例,展示了PADN与瓣膜介入治疗协同应用的初步成效。

厦门大学附属心血管病医院陈翔教授主题报告
左心疾病所致的肺高压早期以被动性肺静脉压力升高为主(IpcPH),但随着病程进展,肺血管逐渐发生重构,表现为肺动脉顺应性下降、僵硬度升高,进而发展为混合性毛细血管前和后性肺高压(CpcPH)。这一阶段,肺动脉搏动性负荷增加、右心室后负荷加重,成为疾病进展的关键驱动因素,也为介入干预提供了明确的病理靶点。
PADN通过抑制交感神经激活、改善肺动脉顺应性,有效打断“肺淤血-肺动脉僵硬度升高”的恶性循环,为后续进一步介入创造更安全的血流动力学条件。他强调,未来仍需开展更大样本、更长随访的随机对照研究,进一步明确PADN的最佳获益人群,并探索其在更早期肺高压干预中的价值。他强调,未来仍需开展更大样本、更长随访的随机对照研究,进一步明确PADN的最佳获益人群,并探索其在更早期肺高压干预中的价值。
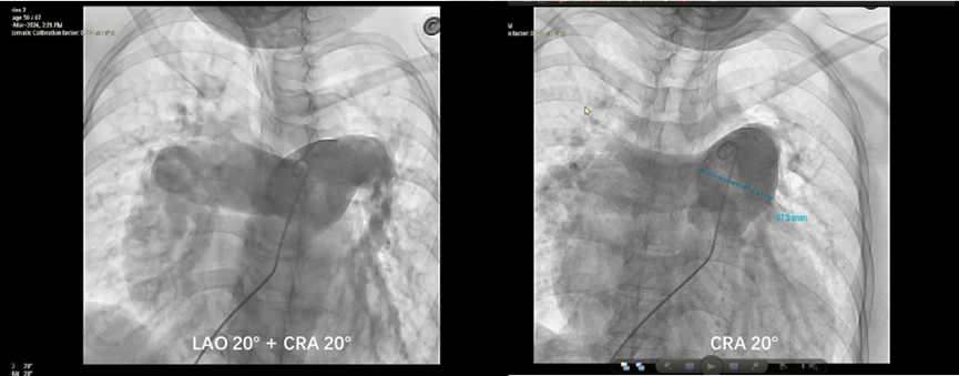
手术直播:实战演示,技术验证
在随后的手术直播环节,广东省人民医院张曹进教授与福建医科大学附属第一医院庄伟教授联手开展了一例肺动脉去神经术(PADN)治疗特发性肺动脉高压(IPAH)的手术直播。

患者为35岁女性,诊断特发性肺动脉高压10余年,既往接受多联靶向药物治疗,病情仍缓慢进展。术前心超显示重度肺动脉高压(估测肺动脉收缩压达145mmHg)、右心显著扩大、中度三尖瓣返流;经右心导管检查测得肺动脉压力(PAP)高达164/43/82mmHg,肺血管阻力(PVR)显著升高(肺总阻力15.94 Wood),提示右心后负荷持续加重。
经团队评估,决定行PADN手术。术中行肺动脉造,确认消融靶点位置并测得肺动脉直径为47.3mm,选择50mm的消融导管。

术中,PADN导管经过PFlexi长鞘送至主肺动脉,并行精准消融。

手术过程顺利,术后复测右心导管检查,肺动脉压力、肺血管阻力与心排量均有明显改善,右心负荷得以减轻。PADN通过抑制过度激活的肺动脉交感神经,为肺动脉高压患者提供了新的介入治疗选择。该病例展示了PADN技术在重度肺动脉高压患者中的安全性与可行性,进一步验证了其在中晚期肺高压治疗中的临床应用价值。
与会专家围绕两位教授的授课内容与手术病例,聚焦疾病诊疗和PADN技术的临床应用与培训等核心问题展开深度探讨:
肺高压的早诊断早治疗——把握最佳干预时机与会专家一致强调,肺高压的早期识别与及时干预是改善患者预后的关键。由于肺高压早期症状缺乏特异性,易被忽视或误诊,因此提高临床医生对该病的认知、加强高危人群的筛查、规范诊断流程尤为重要。多位专家指出,只有实现早诊断、早治疗,才能为后续干预争取最佳时机,避免病情进展至不可逆阶段。在这一理念指导下,PADN作为早期介入的有效手段,其价值更加凸显。
PADN在肺高压治疗路径中的定位前移——从“补充”到“优选”:多位专家结合各自中心的临床经验指出,患者病程越短,PADN术后改善越为显著。因此,PADN不应仅作为靶向药物治疗无效后的“最后选择”,而应更早介入,充分发挥其“早期干预、长期获益”的优势。随着PADN联合靶向药物“起始联合”治疗循证证据的不断积累,PADN有望从“治疗补充”走向“治疗优选”,成为肺高压综合治疗路径中的重要一环。
PADN技术应用与培训——助力中国原创技术走向临床,技术的推广离不开术式培训。从手术直播可见,PADN操作流程清晰、关键步骤明确,具备良好的可复制性。在技术开展初期,通过手术观摩、模拟操作、专家带教等方式,术者能够快速掌握技术要点。目前,国内近十家示范中心已定期开展PADN培训课程及各类线上病例研讨会,推动真实世界数据的共享与交流。让更多医生掌握这项技术,意味着更多患者能够在本地获得更多更优治疗选择。
创新引领,未来可期
本次PADN专题会通过真实世界数据发布、临床经验分享与手术实战演示,全面呈现了PADN技术在肺动脉高压治疗领域的创新价值与临床应用前景。从中国原创到国际认可,从机制探索到规范推广,PADN正以其独特的治疗理念和确切的临床疗效,为肺高压患者开辟新的治疗路径。
展望未来,随着PADN-HF-PH等多项研究数据的陆续发布,PADN的适应证将进一步拓展,临床应用将更加精准。在机制研究、手术优化、长期随访等方面的持续深耕,将为PADN技术的高质量发展奠定坚实基础。期待在各位专家同道的共同努力下,PADN能够惠及更多肺高压患者,为中国心血管原创技术走向世界贡献更多力量。
技术了解、企业合作请联系
pr@pulnovomed.com
021-63660305